Saiu a já esperada atualização sobre avaliação da função diastólica da American Society of Echocardiography sob o comando do Sherif Nagueh.

A última recomendação datava de 2016 e, de lá para cá, o conhecimento andou, com novas informações sobre variáveis ecocardiográficas adicionais, como o strain do átrio esquerdo (AE).
Além disso, este novo documento tenta aprimorar o algoritmo de avaliação da função diastólica tendo em vista que não era infrequente termos parâmetros discordantes levando, em alguns casos, a situações não classificáveis de função diastólica.
Portanto, o objetivo desta atualização foi trazer uma abordagem mais contemporânea da avaliação da função diastólica, bem como discutir a aplicação desta avaliação no contexto da insuficiência cardíaca com fração de ejeção preservada (ICFEp).
O documento tem três diferentes sessões, a citar a avaliação aplicada a (1) população geral, (2) condições clínicas específicas e (3) no contexto da ICFEp.

Vamos, nesta postagem, focar na primeira etapa da diretriz, ou seja, o foco na população geral.
Algumas considerações iniciais são realizadas para que não nos esqueçamos do básico:
- A aplicação começa a partir dos dados CLÍNICOS do paciente, ou seja, idade, frequência cardíaca, ritmo cardíaco de base, pressão arterial;
- A qualidade da imagem importa! Em situações em que os parâmetros não são avaliados de forma confiável, quando a imagem for sub-ótima, estes não devem ser levados em consideração;
- O examinador deve ter sólido conhecimento da fisiopatologia cardiovascular, devendo interpretar a fisiologia de cada variável estudada;
- Uma medida isolada é insuficiente para definir diagnóstico;
- O presente guideline é direcionado para a população adulta, não devendo ser empregado para gestantes, crianças e durante avaliação intraoperatória, por exemplo.

Um fator importante destacado (com muita felicidade) na diretriz sobre os valores de referência para os parâmetros de avaliação é que não existe um valor numérico considerado como “ótimo”, uma vez que o processo de envelhecimento interfere na função diastólica de um indivíduo saudável, ou seja, a idade deve ser sempre levada em consideração durante a avaliação do paciente.
Assim sendo, temos uma tabela com valores de normalidade para diferentes faixas etárias, dividida em intervalos de 20-39 anos, 40-60 anos e 60-80 anos.

Quanto às medidas ecocardiográficas, os parâmetros derivados do Doppler que melhor se correlacionam com as pressões de enchimento são:
- Velocidade da onda E mitral;
- Relação E/A;
- Tempo de desaceleração – TDA mitral;
- Relação sístole/diástole da veia pulmonar;
- Relação E/e´;
- Strain do átrio esquerdo (fase de reservatório).
Os parâmetros que melhor se relacionam com a pressão diastólica final do ventrículo esquerdo, por sua vez, são:
- Velocidade da onda A mitral;
- Velocidade da onda A reversa da veia pulmonar;
- Diferença do tempo A reserva – A mitral;
- Strain do átrio esquerdo (fase de bomba).
As medidas ecocardiográficas requeridas para analisar a função diastólica são divididas em primárias, secundárias e avançada:



A manobra de Valsalva continua sendo uma etapa importante no processo de avaliação da função diastólica ao ajudar a diferenciar pressões de enchimentos normais de pseudonormais, bem como determinar se há reversibilidade do padrão restritivo, uma vez que uma redução ≥ 50% da relação E/A é altamente específica para o aumento das pressões de enchimento.
Além disso, devemos lembrar que a avaliação estrutural é passo importante. Aqui entra o aumento do índice de massa por hipertrofia ventricular patológica, assim como a avaliação do volume indexado do átrio esquerdo (AE). O aumento do AE, contudo, não deve ser justificado por outras condições como arritmia atrial crônica, doença valvar mitral, anemia, transplante cardíaco (técnica biatrial), estados hiperdinâmicos ou em indivíduos atletas (modalidade de endurance).

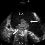
Em relação ao strain global longitudinal (SGL) do ventrículo esquerdo (VE), a diretriz cita que este parâmetro pode estar reduzido em pacientes com disfunção diastólica e fração de ejeção (FE) preservada, incluindo aqueles com ICFEp. Diferentemente do posicionamento de 2023 do DIC sobre a aplicação do strain (imagem – seta), esta diretriz reforça que esta medida não é um parâmetro de avaliação da função diastólica, mas sim um dos critérios para ICFEp quando reduzido.

A avaliação do strain do AE, por outro lado, é destacada como um parâmetro importante para a estimativa das pressões de enchimento do VE. Ainda, uma variável derivada desta análise, o índice de rigidez atrial, apresenta uma maior acurácia para identificar pacientes com ICFEp quando comparado com outros parâmetros ecocardiográficos, inclusive com capacidade de identificar aqueles sob maior risco de internação hospitalar por insuficiência cardíaca descompensada.

DEFINIÇÃO DE DISFUNÇÃO DIASTÓLICA: como a disfunção diastólica deve ser avaliada pelo relaxamento e pela rigidez ventricular, recomenda-se a associação de vários parâmetros para realizar o diagnóstico.

Para o relaxamento, os melhores índices são a velocidade e´ e o strain-rate da onda E. Contudo, por ser mais reprodutível e mais factível, a velocidade da onda e´ deve ser a primeira opção.
Desta maneira, o primeiro passo do algoritmo é avaliar as velocidades das ondas e´:

Vale destacar que novos pontos de corte foram considerados, sendo ≤ 7 cm/s para a onda e´ lateral e ≤ 6 cm/s para a onda e´ septal. Estes valores foram revisados levando-se em consideração a associação com desfechos clínicos importantes.
Na presença de alteração da velocidade da onde e´, apenas mais um outro parâmetro alterado é suficiente para definir disfunção diastólica. Se as velocidades estiverem normais, são necessários mais dois outros parâmetros alterados.


O algoritmo para estimar a pressão do AE em repouso se adequa a pacientes em ritmo sinusal e FE preservada. Os casos especiais serão abordados posteriormente.
- Volume do AE indexado: descartar causas de aumento cavitário como anemia, coração de atleta, estados hiperdinâmicos, arritmias atriais e doença valvar mitral;
- Velocidade do refluxo tricúspide: se a pressão do AD pode ser estimada, considera-se aumento da pressão pulmonar valor ≥35 mmHg. Se a pressão do AD não pode ser estimada, usa-se a velocidade de refluxo tricúspide ≥2,8 m/s na ausência de doença pulmonar.
Para o diagnóstico de aumento da pressão do AE em repouso, 03 parâmetros devem estar alterados: (1) diminuição de e´, (2) aumento da relação E/e´ e (3) PSAP PSAP ≥35 mmHg ou VRT ≥2,8 m/s.

Outros parâmetros também são citados para esta etapa da avaliação:
Calcular, no fluxo de veia pulmonar a VTI sistólica e diastólica e empregar a fórmula:
Fração de enchimento sistólico = VTIsistólica / VTIsistólica + VTI diastólica)
Se ≤40% indica aumento da pressão do AE.
Em pacientes com função sistólica normal, TRIV ≤70 ms correlaciona-se melhor com aumento da pressão do AE.
Da mesma forma pode-se usar a relação S/D da veia pulmonar ≤0,67, mas aplica-se quando há disfunção sistólica.
Por fim, temos o algoritmo completo:

Relatório da disfunção diastólica: todos os laudos ecocardiográficos devem incluir:
- parâmetros de função diastólica, classificados em normal, grau 1, 2 ou 3. Se o cardiologista que recebe o laudo não estiver familiarizado, os dados devem ser pormenorizados.
- O aumento isolado da Pd2VE também deve ser relatado, visto a probabilidade de aumento da pressão de AE e PCP com exercício, taquicardia ou aumento da pós carga.
- As medidas devem incluir velocidades do fluxo mitral, Doppler tissular, relação E/e’, duração de A, velocidade tricúspide ou PSAP, relação S/D da veia pulmonar, duração de A mitral e A reversa, TRIV e strain longitudinal do AE.
- Eco de estresse diastólico: usa-se quando o exame em repouso não é suficiente para detectar aumento da pressão de enchimento em pacientes com dispneia. Até 50% dos pacientes com IC e FE preservada tem pressão de enchimento normal em repouso que amenta rapidamente com exercício ou elevação dos MMII.
- Em indivíduos normais a onda e’ aumenta de 3 a 5 cm/s durante o exercício, o que não ocorre na disfunção diastólica com aumento da pressão do AE.
- Como a velocidade E mitral aumenta com o exercício e a onda e’ não, observa-se aumento da relação E/e’. Valores E/e’ ≥14 e velocidade de refluxo tricúspide >3,2 m/s fazer diagnóstico de aumento da pressão do AE. E/e’ ≥14 e VRT >2,8 e <3,2 m/s podem sugerir aumento da pressão do AE
- Deve ser usada bicicleta ou esteira. Dobutamina não é indicada.
- Recentemente foi introduzida a pesquisa de linhas B do US pulmonar indicando congestão pulmonar ou edema.
- Em alguns pacientes usa-se a elevação dos MMII durante 1 minuto, mas com menor sensibilidade.
- Utilização da IA na análise da função diastólica:
- A aplicação da IA aumenta a eficiência na análise da disfunção diastólica por analisar vários parâmetros de forma simultânea.
- Existem abordagens de visão única e múltipla. As abordagens de visão única envolvem a segmentação dos volumes do AE e do VE, a medição da FEVE e do strain longitudinal, e o treinamento do modelo para identificar qual combinação de métricas do AE e do VE fornece a classificação mais precisa da função diastólica.
- Modelos de aprendizado de máquina utilizando resultados clínicos oferecem uma abordagem mais baseada em evidências para otimizar a classificação da função diastólica.
- A validação de modelos de IA usando hemodinâmica invasiva e resultados clínicos é necessária para estabelecer sua precisão, reprodutibilidade e relevância clínica.
Recentemente iniciamos a discussão dessa nova diretriz durante um live promovida pela ECOPE. Segue o link:

Graduado em medicina pela Universidade Potiguar (UnP). Possui residência em Clínica Médica pelo Hospital Universitário Onofre Lopes – HUOL (UFRN) e em Cardiologia pelo Procape – UPE. Porta o título de especialista em Cardiologia pela Sociedade Brasileira de Cardiologia (SBC) e é pós-graduado em Ecocardiografia, pela ECOPE.
Parabéns Caio. Mais um excelente artigo de atualização !
Mais uma vez, excelente. Parabéns.
Excelente, Caio!!
ótimo!
Bom dia. No novo Guideline de Disfunção Diastólica as gestantes entram na avaliação aplicada à população geral? Obrigado