A insuficiência aórtica (IAo) pode decorrer de diferentes mecanismos patológicos que afetam os folhetos valvares ou raiz de aorta e que resultam em coaptação inadequada.
A classificação de Carpentier separa a IAo em 03 diferentes grupos baseados na morfologia dos folhetos da valva aórtica e na raiz de aorta.

A IAo tipo II, por exemplo, se caracteriza por uma mobilidade excessiva do folheto valvar, indo desde prolapso até ruptura comissural. Uma causa pouco conhecida que leva ao prolapso é a presença de uma dobra transversal (“transverse fold“) em algum folheto coronariano de uma valva aórtica trivalvular.
Nunca ouviu falar? Nem eu! Então vamos aprender com um caso clínico do periódico CASE publicado agora em janeiro de 2026.

Homem de 63 anos de idade, portador de hipertensão arterial sistêmica (HAS) de longa data (>15 anos), diabetes (DM) e dislipidemia, encaminhado para avaliação após identificação de sopro cardíaco. Na ocasião, o paciente queixava-se dispneia aos esforços e fadiga, ambos de caráter progressivo, com piora nos últimos 05 meses.
Ao exame, pressão arterial de 159×68 mmHg, abafamento de B1 e sopro holodiastólico (3/4+) mais audível no foco aórtico. Ecocardiograma mostrou uma valva aórtica trivalvular e um aparente prolapso do folheto coronariano direito, de elevada mobilidade, levando a considerar a possibilidade de flail. Ainda, havia uma regurgitação valvar significativa, com direção posterior, fluxo reverso holodiastólico em aorta descendente com VTI de 25 cm e dilatação da raiz aórtica (4,9 cm).
Também foi observado fechamento precoce da valva mitral, dilatação do ventrículo esquerdo (VE), com volume diastólico final indexado de 145 ml/m², hipertrofia concêntrica do VE importante (septo 17 mm, índice de massa 210 g/m² e espessura relativa 0.54), fração de ejeção 65%, porém com strain global longitudinal (SGL) reduzido (14%).
Foi realizada ressonância magnética (RM) cardíaca que confirmou a dilatação importante do VE, espessura diastólica aumentada das paredes (19 mm), com realce tardio inespecífico leve, além de alterações não isquêmicas no segmento basal da parede ínfero lateral e no sítio de inserção inferior do ventrículo direito (VD).
O paciente foi classificado como portador de IAo estágio D e encaminhado para avaliação do serviço de cirurgia cardiovascular.
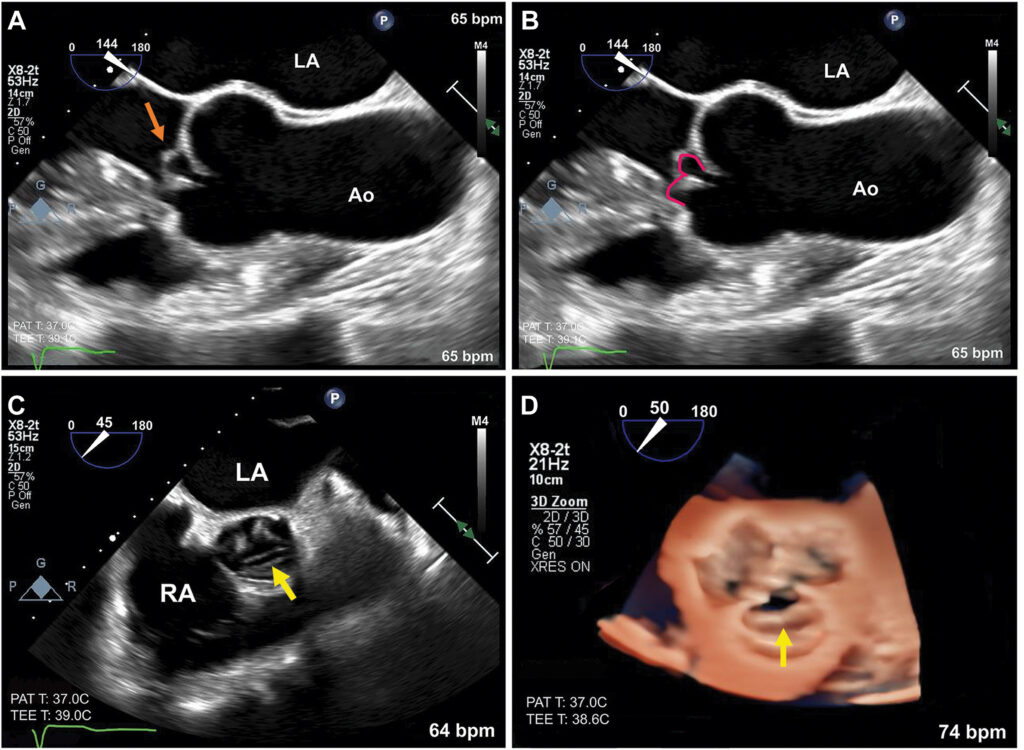
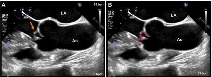
Ecocardiograma transesofágico, realizado para confirmar o mecanismo da regurgitação aórtica, mostrou uma valva aórtica trivalvular com uma dobra transversa no folheto coronariano direito causando prolapso distal.
A IAo importante foi confirmada: volume regurgitante 76 mL, fração regurgitante de 61%, fluxo reverso holodiastólico em aorta abdominal, “flutter” (ver foto) no folheto anterior da valva mitral causando restrição de mobilidade.





Hemoculturas negativas afastaram a possibilidade de endocardite infecciosa (EI) como etiologia da disfunção valvar e a angiotomografia de artérias coronárias descartou doença arterial coronária obstrutiva, bem como confirmou a dobra transversa no folheto coronariano direito.

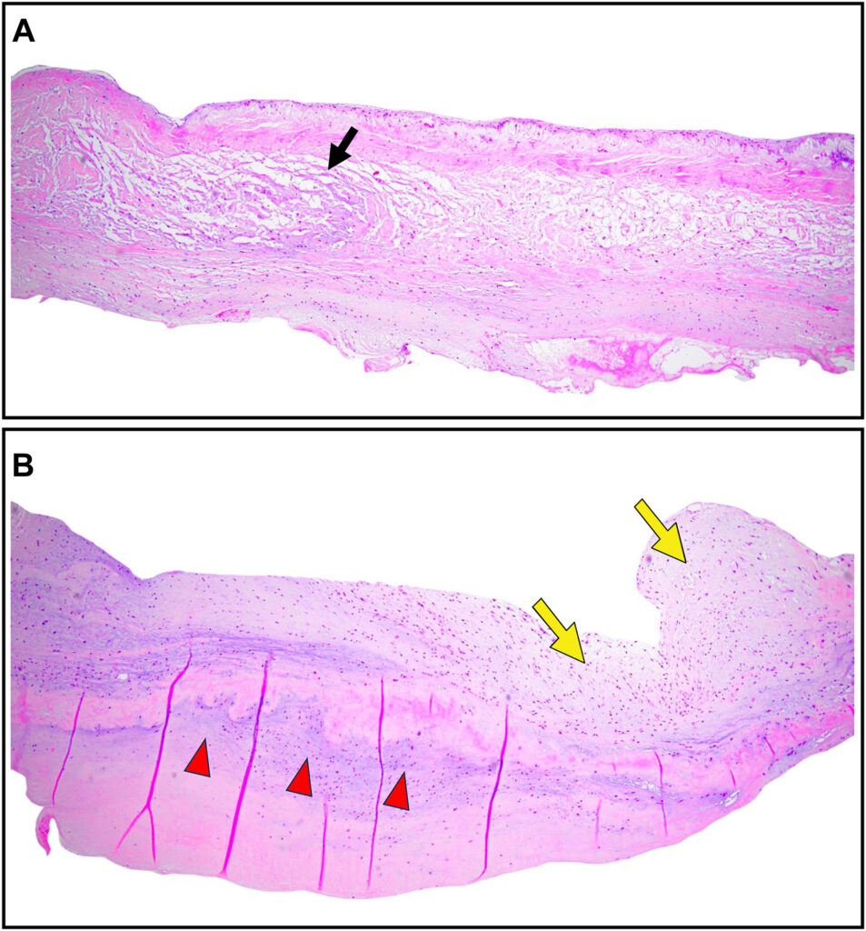
Os achados intraoperatórios confirmaram o folheto coronariano direito prolapsado com a presença de uma dobra transversa e aspecto fibrótico. Foi realizada a troca valvar por uma prótese biológica.


A análise patológica mostrou degeneração mixóide do folheto coronariano direito associado a fibrose.


Um estudo prospectivo com 2.000 pacientes mostrou uma prevalência de 1.2% de prolapso da valva aórtica (24/1.788), sendo a causa primária a valva aórtica bicúspide (11/24) e, nos casos de valva aórtica trivalvular, associado ao prolapso de valva mitral, dilatação de raiz de aorta marfanoide ou endocardite.
Em outro estudo, retrospectivo, com 516 pacientes com valva aórtica trivalvular e IAo submetidos a cirurgia cardíaca, o prolapso ocorreu em 46% dos casos, com envolvimento do folheto coronariano direito em 86% destes. A presença de uma dobra transversa não foi relatada neste registro.
A IAo relacionada à presença de uma dobra transversa ocorre predominantemente em pacientes do sexo masculino e portadores de HAS. A análise histológica revela degeneração mixóide e uma banda fibrosa.
Allen et al. reportou degeneração mixóide em 36% dos casos de IAo, com a maior parte destes em pacientes hipertensos.
A predisposição do folheto coronariano direito de prolapsar pode ser justificada pela sua relação anatômica com o septo miocárdico, ao contrário dos folhetos não coronariano e coronariano esquerdo, que apresentam relação anatômica com a parte fibrosa do coração.
Os diagnósticos diferenciais deste caso englobam IAo do tipo I por dilatação da raiz de aorta, folheto aórtico fenestrado, perfuração, endocardite e doenças do tecido conjuntivo.
O sinal em “W” pode ser observado, ao estudo transesofágico no eixo longo, com a análise em 3D caracterizando a dobra transversa. Este sinal se caracteriza por um formato em W do segmento prolapsado do folheto coronariano direito.

Weininger et al. mostrou que o sinal em “W” se associou a bons resultados cirúrgicos de plastia valvar, porém estudos maiores são necessários para confirmar esta associação.
Graduado em medicina pela Universidade Potiguar (UnP). Possui residência em Clínica Médica pelo Hospital Universitário Onofre Lopes – HUOL (UFRN) e em Cardiologia pelo Procape – UPE. Porta o título de especialista em Cardiologia pela Sociedade Brasileira de Cardiologia (SBC) e é pós-graduado em Ecocardiografia, pela ECOPE.