Na recentemente publicada diretriz de avaliação da função diastólica da ASE 2025, um ponto que recebeu destaque foi a calcificação do anel mitral (MAC), cuja presença demanda uma análise a partir de um fluxograma específico.

Na presença de MAC moderada ou importante, sugere-se realizar a avaliação da função diastólica seguindo um algoritmo diferente:

Sendo assim, é importante realizar a graduação da calcificação do anel mitral para saber qual dos dois fluxogramas seguir. Aqui no blog, já abordamos este tema em uma postagem de 2023 …

Trago mais um artigo publicado agora em outubro na JASE que comparou a quantificação realizada pela ecocardiografia com o escore de cálcio pela tomografia computadorizada.

MAC é um processo degenerativo na base fibrosa da valva mitral que resulta em calcificação progressiva. Quando importante, pode causar estenose valvar significativa, bem como regurgitação. Por outro lado, a abordagem cirúrgica para troca valvar, neste contexto, pode ser bastante desafiadora e de alto risco, porém a abordagem transcateter parece ser promissora e vem sendo aplicada pela técnica “valve-in-MAC“.
Quando avaliada pela ecocardiografia transtorácica, a graduação da MAC se baseia no envolvimento circunferencial do anel mitral pela janela paraesternal eixo curto. A presença de calcificação leve do anel mitral já é o suficiente para se correlacionar com disfunção valvar e mortalidade.
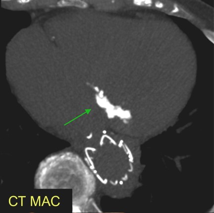
A tomografia computadorizada (TC), por sua vez, é considerada a modalidade de imagem padrão ouro para o planejamento pré-procedimento, com formas de graduação da calcificação que diferem da utilizada pela ecocardiografia, como por exemplo através do escore de cálcio.
O objetivo do presente estudo foi demonstrar uma forma prática e simples de graduação da MAC pela ecocardiografia e avaliar sua correlação com a quantificação realizada pela tomografia computadorizada.
Para tanto, os participantes tiveram a área da calcificação do anel mitral medida tanto no eixo curto quanto no eixo longo da janela paraesternal em frame único com a melhor visualização do anel mitral.

Se a calcificação estivesse presente em segmentos descontínuos, esses eram medidos separadamente. Além da quantificação da área, foi também realizado a porcentagem do total da calcificação em relação a circunferência do anel valvar.
Já na TC, a quantificação da calcificação foi realizada através do escore de Agatston.

Nesta análise, as calcificações da valva aórtica e submitral foram subtraídas na análise tridimensional da TC.


Ao todo, 75 pacientes foram selecionados para a análise. A idade média dos participantes foi de 75 anos, sendo 49% do sexo masculino. Um escore de cálcio < 100 Agatston foi observado em 13%.
A área da calcificação do anel mitral, avaliada pela ecocardiografia, apresentou uma correlação de R = 0.6119, P < 0.001 com o escore de cálcio pela TC.


Quando as medidas realizadas tanto pelo eixo curto quanto pelo eixo longo foram associadas, a área da MAC e o escore de cálcio tiveram uma correlação mais significativa (R = 0.6520, P < 0.001).
Já a extensão da calcificação em relação à circunferência do anel mitral apresentou uma correlação mais baixa (R = 0.5099, P < 0.001).


A correlação de Pearson (R) mede a força e a direção de uma relação linear entre duas variáveis. O valor de r varia de -1 a
+1. Um valor próximo de +1 indica uma forte correlação positiva, onde ambas as variáveis aumentam juntas; um valor próximo de -1 indica uma forte correlação negativa, onde uma variável aumenta enquanto a outra diminui; e um valor próximo de 0 indica uma correlação fraca ou inexistente
Um desafio observado durante a avaliação foi a identificação da extensão real de toda a calcificação pela ecocardiografia. Isso ocorreu em razão de que as imagens eram focadas no plano dos folhetos valvares em único frame, contudo isso poderia não necessariamente captar todo o acometimento da MAC. Sendo assim, recomenda-se que a avaliação englobe não só o frame no plano dos folhetos da valva mitral, mas sim de todo o aparato mitral.
Após este “ajuste” (avaliação mais ampla no anel mitral), uma nova análise foi realizada (validation cohort) com 28 pacientes, sendo 54% do sexo masculino e com idade média de 75 anos.
Houve uma melhora da correlação entre a medida da área da MAC com o escore de cálcio pela TC (R = 0.8166, P < 0.001). Da mesma forma, quando as medidas do eixo curto e eixo longo foram agrupadas, houve incremento da correlação comparado com a análise inicial (R = 0.8102, P < 0.001).

A correlação da extensão em relação à circunferência do anel mitral não apresentou mudança significativa em comparação com a primeira análise (R = 0.5577, P = 0.002 x R = 0.5644, P = 0.002).
O estudo demonstra, portanto, que a quantificação da calcificação do anel mitral pela ecocardiografia é factível através da área da MAC e apresenta razoável correlação com o escore de cálcio pela TC.
Embora as recomendações atuais indiquem que esta análise seja realizada pela extensão da calcificação em relação a circunferência do anel mitral, os resultados desta análise indicam que este tipo de abordagem não apresenta boa correlação com o escore de cálcio pela TC.
Particularmente, a graduação através da área da MAC não é uma rotina minha. Fazendo uma rápida pesquisa, encontrei essa referência sobre o ponto de corte para considerar MAC significativa. Em breve, irei fazer uma análise mais detalhada aqui para o blog. Cenas dos próximos capítulos …

Graduado em medicina pela Universidade Potiguar (UnP). Possui residência em Clínica Médica pelo Hospital Universitário Onofre Lopes – HUOL (UFRN) e em Cardiologia pelo Procape – UPE. Porta o título de especialista em Cardiologia pela Sociedade Brasileira de Cardiologia (SBC) e é pós-graduado em Ecocardiografia, pela ECOPE.
ASSUNTO MUITO INTERESSANTE E EXCELENTE EXPLICAÇÃO