A avaliação de qualquer disfunção valvar deve ser baseada numa abordagem multiparamétrica para que tenhamos maior capacidade diagnóstica. É verdade, porém, que muito frequentemente nos deparamos com situações em que parâmetros discordantes podem levar à confusão diagnóstica.
Classicamente, este cenário é descrito no contexto de estenose aórtica (EAo), tanto que é frequente termos, nas diretrizes, orientações de como proceder nestes casos.

Na prática, também vemos, com certa frequência, pacientes portadores de estenose mitral (EMi) cuja avaliação ecocardiográfica revela parâmetros discordantes, dificultando a diferenciação entre disfunção valvar moderada e importante.
Assim sendo, vamos fazer uma revisão sobre a avaliação desta valvopatia para que possamos interpretar melhor os achados e tornar a graduação da estenose mitral menos desafiadora.
GRADIENTE PRESSÓRICO:
A estimativa do gradiente pressórico diastólico deriva da velocidade da curva do fluxo transvalvar e utiliza a equação de Bernoulli simplificada (∆P = 4v²), apresentando uma boa correlação com a medida invasiva pela cateterização transseptal.
O uso do Doppler contínuo é recomendado para assegurar que as velocidades máximas sejam aferidas.
A medida é realizada a partir da janela apical 4C, com um alinhamento paralelo entre o feixe do ultrassom e fluxo mitral. Na presença de jatos excêntricos do fluxo transmitral (AE-VE), que podem ser observados nos casos de alterações anatômicas do aparato valvar mitral, o feixe deve ser alinhado com a região de maior velocidade do fluxo identificado pelo color Doppler.


Um ganho adequado, orientação correta do feixe ultrassônico e uma boa janela são indispensáveis para uma curva de fluxo bem delimitada. A partir desta curva, os gradientes máximo e médio são calculados.
Aqui, o gradiente médio (Gmed) é o parâmetros hemodinâmico mais relevante, uma vez que o gradiente de pico deriva da velocidade de pico e sofre influência direta da complacência atrial e função diastólica do ventrículo esquerdo (VE).
É importante documentar a frequência cardíaca (FC) no momento em que a medida foi realizada. Nos pacientes com fibrilação atrial (FA), o Gmed deve ser calculado pela média de 05 ciclos com a mínima variação possível do intervalo R-R, preferencialmente com a frequência mais próxima possível da FC normal.

É importante lembrar que o Gmed sofre influência de fatores que interferem no fluxo transvalvar mitral, como FC, débito cardíaco e insuficiência mitral (IMi) associada.
PLANIMETRIA:
Consiste na medida direta do orifício valvar pela ecocardiografia bidimensional e, diferentemente dos outros métodos, não sofre influência das condições de fluxo, complacência ventricular e atrial ou de outras valvopatias associadas.
Em teoria, é a medida mais fiel e considerado o “padrão ouro” para a avaliação da área valvar. Idealmente, o traçado do orifício valvar, incluindo a região comissural, é realizado no eixo curto da janela paraesternal.
Aqui, o grande cuidado técnico é assegurar que a medida está sendo realizada no plano de coaptação dos folhetos.

A planimetria não deve ser realizada em valvas muito deformadas ou com presença de calcificação excessiva em razão da dificuldade em delimitar a borda de coaptação.
Outro detalhe a ser lembrado é que um ganho excessivo pode subestimar a área da valva, particularmente quando os folhetos estão espessados ou calcificados.
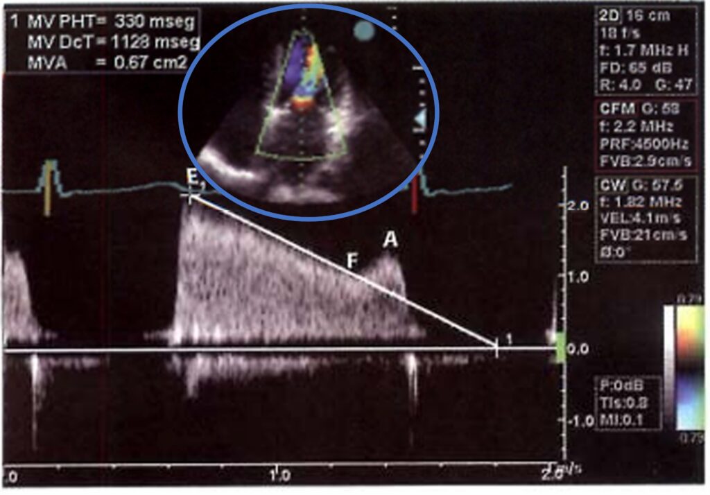
PRESSURE HALF-TIME (PHT):
Em pacientes com ritmo regular pode ser utilizado a medida do tempo em que o gradiente pressórico transmitral cai pela metade.
Na posição apical, com o color Doppler, escolhe-se a posição que permita o melhor alinhamento entre o fluxo diastólico mitral turbulento e o feixe de ultrassom.
Com o Doppler contínuo (ou pulsátil) registra-se o traçado espectral do fluxo transmitral. Quando utilizado o Doppler pulsátil, deve-se tomar o cuidado de posicionar o volume-amostra ao nível da vena contracta.
Posiciona-se o calibrador de aferição do equipamento no ponto de maior velocidade do fluxo e tangencia-se cuidadosamente a rampa de desaceleração do fluxo (segmentos E-F da curva de fluxo mitral).

Em alguns pacientes, principalmente os que apresentam dupla disfunção mitral, frequentemente a rampa de desaceleração protodiastólica é mais inclinada do que a porção mesodiastólica.

Nestes casos, a aferição do PHT deve ser realizada na porção mesodiastólica do traçado.
Esta medida é influenciada por fatores como retardo do relaxamento ventricular esquerdo, alterações do acoplamento atrioventricular (bloqueios atrioventriculares), duplo enchimento ventricular (insuficiência aórtica associada a estenose mitral), regurgitação mitral significativa e taquiarritmias.
EQUAÇÃO DE CONTINUIDADE:
Em primeiro lugar, deve-se determinar o débito sistólico através da valva aórtica. Mede-se o diâmetro da via de saída do ventrículo esquerdo (VSVE) no eixo paraesternal longitudinal durante a sístole. Depois, calcula-se a área da VSVE a partir da seguinte fórmula: Área = diâmetro VSVE² x 0.785.
Já na janela apical 5C, utiliza-se o Doppler pulsátil e com o volume amostra posicionado imediatamente abaixo do plano valvar aórtico e, a partir do traçado espectral do fluxo da VSVE, mede-se a velocidade integral. Temos, então, o débito sistólico através da fórmula “Débito Sistólico = área de VSVE x VTI VSVE“.
Depois, no traçado espectral do fluxo mitral, mede-se a velocidade integral. A partir daí, podemos calcular a área valvar através da fórmula “Área Valvar Mitral = débito sistólico / VTI mitral“.

Em pacientes que apresentam ritmo de FA, taquiarritmias e bloqueio atrioventricular de primeiro grau, recomenda-se calcular a área valvar mitral pela equação de continuidade. Este método também está indicado nas aferições da área mitral realizadas logo após a realização de valvotomia mitral, em que o edema das cúspides observado após o procedimento pode interferir na medicação pelo método PHT.
Feito a revisão, podemos entender, portanto, que diferentes fatores podem interferir na análise dos parâmetros ecocardiográfico e, desta forma, gerar resultados discordantes.
Assim, quando factível, a preferência deve ser dada pela planimetria e a utilização da ecocardiografia tridimensional deve ser recomendada. A avaliação durante esforço também pode ser útil e, sem esquecer, a análise das repercussões da valvopatia pode auxiliar na definição da gravidade da disfunção valvar.
Graduado em medicina pela Universidade Potiguar (UnP). Possui residência em Clínica Médica pelo Hospital Universitário Onofre Lopes – HUOL (UFRN) e em Cardiologia pelo Procape – UPE. Porta o título de especialista em Cardiologia pela Sociedade Brasileira de Cardiologia (SBC) e é pós-graduado em Ecocardiografia, pela ECOPE.
Brilhante!!
Top meu amigo