
O trauma torácico fechado pode resultar em danos significativos nas estruturas cardíacas com consequências devastadoras, sendo o impacto na raiz de aorta e aorta ascendente algo frequente neste contexto.
Lesões da aorta torácica podem levar à disfunção da valva aórtica, por danos nos folhetos valvares, causando insuficiência aórtica grave e aguda com consequente choque cardiogênico.
O que é incomum, porém, é termos uma lesão traumática na valva aórtica sem acometimento da aorta ascendente. Trago aqui mais um caso bem ilustrativo do periódico CASE demonstrando um cenário sempre desafiador na sala de emergência.

Homem, 68 anos de idade, portador de hipertensão arterial sistêmica (HAS), transtorno de humor depressivo e hipertrofia prostática benigna, admitido no pronto socorro após queda de uma altura aproximada de 6 metros, com impacto na região esquerda do tórax ao atingir o solo.
O paciente estava hemodinamicamente estável, com pressão arterial de 126 x 53 mmHg e frequência cardíaca (FC) 82 bpm. Ao exame, chamava atenção um sopro diastólico (III/IV) mais audível na borda esternal esquerda inferior. Eletrocardiograma mostrava ritmo sinusal com distúrbio de condução pelo ramo direito.
Tomografia computadorizada (TC) de tórax documentou fraturas nos sexto e sétimos arcos costais esquerdos, pequeno pneumotórax e hematoma retroperitoneal no músculo psoas à esquerda.
Exames laboratoriais mostraram lesão renal aguda por rabdomiólise traumática para a qual o paciente recebeu terapêutica direcionada.
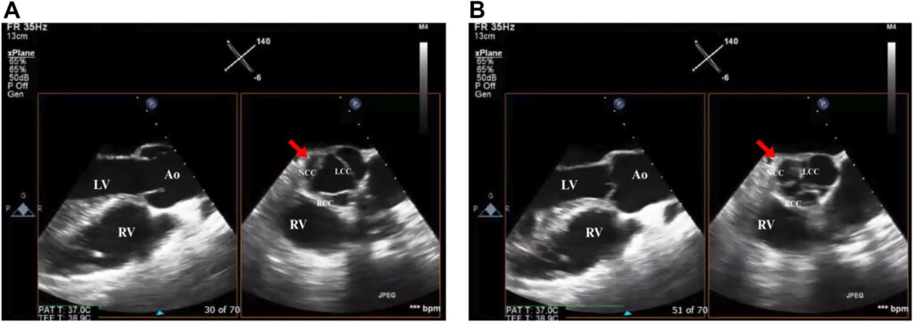
No terceiro dia de admissão, foi realizado ecocardiograma transtorácico cujo resultado demonstrou fração de ejeção (FE) de 60% e uma valva aórtica trivalvular com perfuração do folheto não coronariano e insuficiência aórtica (IAo).

A avaliação transesofágica mostrou um volume diastólico final indexado do ventrículo esquerdo de 47.00 ml/m², diâmetro diastólico final de 4.7 cm e aumento da raiz de aorta, com 3,7 cm no seio de Valsalva e 3.2 cm na região sinotubular.
No quarto dia de internação, paciente evoluiu com hipoxemia com necessidade de ventilação não invasiva (CPAP). Cateterismo cardíaco não mostrou doença arterial coronária (DAC) obstrutiva.
Indicada abordagem cirúrgica e ecocardiograma transesofágico antes do procedimento mostrou prolapso do folheto coronariano direito, perfuração do folheto coronariano esquerdo e também no não coronariano, além de fluxo reverso holodiastólico em aorta descendente.





Foi, então, realizada troca valvar com prótese biológica.
No contexto de trauma torácico fechado, existem diferentes mecanismos relacionados à lesão cardíaca, a citar (1) contusão cardíaca, (2) commotio cordis, (3) lesão valvar, (4) dissecção de aorta, (5) transecção aórtica, (6) lesão no sistema de condução, (7) lesão pericárdica, (8) ruptura de parede livre ou do septo interventricular e (9) dissecção de artéria coronária.
Quando falamos em lesão valvar, a insuficiência primária é a disfunção mais frequente, contudo os dados na literatura são escassos no que diz respeito à incidência de lesão nas diferentes valvas cardíacas. Enquanto alguns relatam que a valva aórtica é a mais frequentemente acometida, seguida da valva mitral, outros atribuem uma maior incidência à lesão da valva mitral (1.25%), com a valva aórtica sendo a segunda estrutura mais acometida (0.93%). A valva tricúspide representa 0.93% dos casos e a pulmonar, 0.02%.
O trauma pode resultar em avulsão das cúspides valvares, comissuras ou até mesmo trituração (“shredding”) dessas estruturas.
A ruptura aguda da valva aórtica pode ter manifestação variável, partindo de casos assintomáticos (e diagnosticados de forma ocasional) até situações de choque cardiogênico fulminante. Isso faz com que o diagnóstico desta condição seja desafiador e requeira um alto grau de suspeição.
Graduado em medicina pela Universidade Potiguar (UnP). Possui residência em Clínica Médica pelo Hospital Universitário Onofre Lopes – HUOL (UFRN) e em Cardiologia pelo Procape – UPE. Porta o título de especialista em Cardiologia pela Sociedade Brasileira de Cardiologia (SBC) e é pós-graduado em Ecocardiografia, pela ECOPE.