Valva Mitral Trivalvular: quando a “mitral” pensa que é uma “aórtica”

O cleft mitral é uma condição congênita rara e que pode envolver tanto o folheto anterior quanto o folheto posterior da valva mitral (VMi). Invaginações tipo “cleft-like” podem ser observadas de forma mais frequente, mas caracteristicamente acometem o folheto posterior e não chegam até a região do ânulo valvar.

Muitas vezes, fazer esta diferenciação é tarefa quase que impossível, contudo a utilização da ecocardiografia 3D, através do estudo transesofágico, pode ser um importante aliado.

Trago aqui uma série de casos de valva mitral trivalvular, cada qual com suas particularidades anatômicas, publicados no periódico CASE, para ilustrar como está condição infrequente pode se apresentar.

Akhtar et al, CASE: Cardiovascular Imaging Case Reports, November 2025

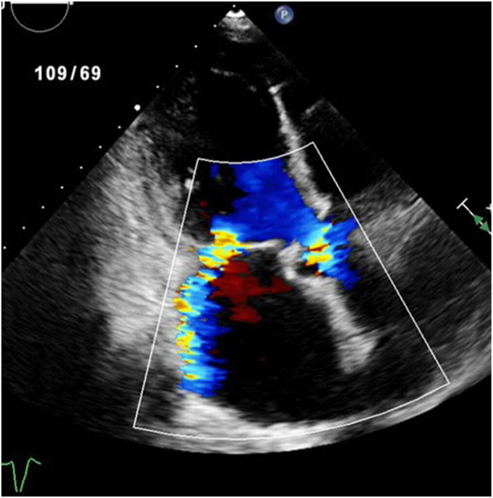
CASO 01:

Paciente, 77 anos de idade, com passado de revascularização miocárdica, hipertensão arterial (HAS) e fibrilação atrial (FA) persistente, com queixa de fadiga progressiva.

Ecocardiograma bidimensional demonstrou ventrículo esquerdo com diâmetro normal, fração de ejeção (FE) preservada (60-65% pela análise subjetiva) e uma insuficiência mitral (IMi) moderada (EROA 0.26 cm², volume regurgitante 38 ml, fração regurgitante 42%).

A VMi tinha aparência trivalvular, com o folheto posterior apresentando uma divisão assimétrica. Dois músculos papilares foram observados.

Akhtar et al, CASE: Cardiovascular Imaging Case Reports, November 2025

Após discussão com equipe médica, foi optado por tratamento clínico. Um exame prévio, realizado 09 anos antes, mostrou que houve progressão da IMi.

Akhtar et al, CASE: Cardiovascular Imaging Case Reports, November 2025

CASO 02:

Paciente, 66 anos de idade, com histórico de insuficiência cardíaca (IC) crônica, FA paroxística, doença renal crônica (DRC), HAS e sarcoidose, admitido na emergência com dispneia, edema e ortopneia.

Ecocardiograma transtorácico mostrou um VE dilatado, com FE estimada em 25-30% e IMi importante (EROA 0.40, volume regurgitante 80 ml e fração regurgitante 54%), com jato regurgitante direcionado posteriormente.

Akhtar et al, CASE: Cardiovascular Imaging Case Reports, November 2025

Ecocardiograma de 09 anos antes demonstrava apenas uma IMi discreta. O paciente foi submetido a estudo transesofágico cujo resultado mostrou uma VMi trivalvular com IMi importante originada de um folheto posterior dividido de forma assimétrica.

Akhtar et al, CASE: Cardiovascular Imaging Case Reports, November 2025
Akhtar et al, CASE: Cardiovascular Imaging Case Reports, November 2025

Dois músculos papilares foram observados em posições habituais e um pequeno folheto comissural com cordoalhas aderidas à ele foi identificado entre os dois folhetos posteriores .

Akhtar et al, CASE: Cardiovascular Imaging Case Reports, November 2025

Os achados, portanto, corroboraram a presença de uma comissura anatômica e uma VMi trivalvular congênita.

Pelo alto risco cirúrgico, o paciente foi submetido a reparo valvar borda-a-borda, com implante de 02 devices no folheto posterior, sendo o primeiro posicionado entre os segmentos A2-P2 medialmente ao cleft e o segundo, lateralmente ao primeiro dispositivo. A regurgitação valvar pós procedimento foi quantificada como leve.

Akhtar et al, CASE: Cardiovascular Imaging Case Reports, November 2025

CASO 03:

Paciente, 88 anos de idade, com histórico de FA paroxística, doença arterial coronária (DAC) não obstrutiva e IC crônica, admitido no hospital com piora da dispneia e edema.

Ecocardiograma transtorácico mostrou FE reduzida de grau leve (40-45%) e IMi pelo menos moderada (EROA 0.38, volume regurgitante 68 ml, fração regurgitante 52%).

Akhtar et al, CASE: Cardiovascular Imaging Case Reports, November 2025

Estudo transesofágico mostrou uma VMi trivalvular com 02 jatos regurgitantes com origem em um folheto posterior dividido.

Akhtar et al, CASE: Cardiovascular Imaging Case Reports, November 2025

Foram observados 03 músculos papilares, embora nenhuma cordoalha relacionada ao cleft tenha sido visualizada.

Akhtar et al, CASE: Cardiovascular Imaging Case Reports, November 2025

Dado o alto risco cirúrgico, o paciente foi submetido a reparo valvar borda-a-borda.

Akhtar et al, CASE: Cardiovascular Imaging Case Reports, November 2025

CASO 04:

Paciente, 73 anos de idade, com histórico de DAC e IC e FA de início recente. Ecocardiograma transtorácico com FE estimada em 35% e IMi moderada, com jato regurgitante direcionado posteriormente.

Ecocardiograma transesofágico, realizado pré cardioversão, mostrou VMi trivalvular com um folheto posterior dividido de forma simétrica.

Akhtar et al, CASE: Cardiovascular Imaging Case Reports, November 2025
Akhtar et al, CASE: Cardiovascular Imaging Case Reports, November 2025

Foi documentada a presença de cordoalha aderida à região do cleft que dividia o folheto posterior em duas partes. 02 músculos papilares foram observados, em posições habituais.

Após 03 anos, a IMi progrediu para importante e o paciente foi submetido a tratamento com intervenção percutânea e reparo borda-a-borda utilizando dois clipes. O resultado pós procedimento mostrou uma IMi leve.

Esta série de casos ilustra situações em que os autores consideram se tratar de VMi trivalvular, com suas diferenças anatômicas avaliadas pela ecocardiografia. Em dois dos casos, 03 músculos papilares foram observados e, embora haja uma grande variedade anatômica em relação ao número de músculos papilares, a avaliação dessas estruturas pode ajudar na identificação da comissura valvar.

Portanto, como documentado no CASO 02, um folheto comissural associado à presença de cordoalha tendínea fala fortemente à favor da presença de uma VMi trivalvulvar congênita.

A literatura menciona tal situação como “cleft chordae“, porém este termo faz menção à cordoalhas que se conectam às invaginações que separam os dois folhetos e estão aderidas nas bordas dos folhetos (e não nas comissuras), ao contrário do observado no CASO 02.

Alguns relatos prévios observaram uma associação entre VMi trivalvular e cardiomiopatia hipertrófica (CMHP) ou obstrução da via de saída do VE por membrana subaórtica, algo não observado na publicação desta série de casos.

Quanto às invaginações (“cleft like indentations“), estas podem ser caracterizadas quando na presença de uma profundidade de até 50% entre os segmentos adjacentes. Na maior parte dos casos, são observadas entre os segmentos P1/P2 e entre os segmentos P2/P3, resultando em uma divisão assimétrica do folheto posterior, bem como uma distância também assimétrica entre a invaginação e as comissuras.

Como visto, uma variedade anatômica pode estar presente em pacientes com VMi trivalvular.

0 0 votos
Avaliação do artigo
Se inscrever
Notificar de
guest
0 Comentários
Mais votado
O mais novo Mais velho
Feedbacks inline
Ver todos os comentários
0
Adoraria lhe escutar, por favor, comente.x